Table of Contents
Washington University Experience | NEOPLASMS (GLIAL) | Oligodendroglioma - Histologically Defined (most del 1p19q) | 9B3 Oligodendroglioma, focal anaplasia (Case 9) 20X
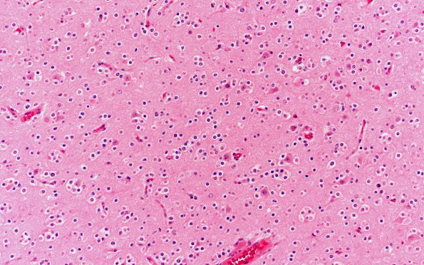
Higher magnification of image #9B2. Mitoses are easily identified with a count of 10mitoses /10 HPF. There are scattered microcalcifications. There is no necrosis or endothelial hyperplasia.
