Table of Contents
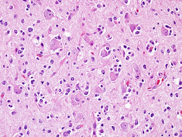
Washington University Experience | NEOPLASMS (GLIAL) | Oligodendroglioma - IDH1 mutant, del 1p19q - Grade 3 | 13A4 Oligodendroglioma, Gr3 (Case 13) H&E 10
There is a significant involvement of the cortex with prominent satellitosis. (H&E)
