Table of Contents
« prev
next »
Washington University Experience
|
NEOPLASMS (GLIAL)
|
PLNTY
|
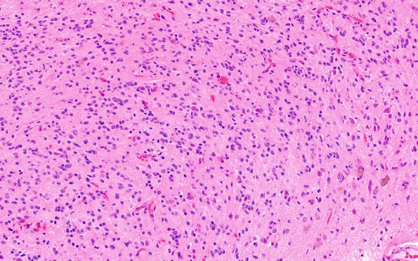
1A5 PLNTY (Case 1) A1 H&E 3
Cerebral cortical infiltration by the tumor demonstrates its infiltrative growth pattern (H&E)
Image Info
Camera Maker:
Olympus
Camera Model:
DP74 #1
Shutter Speed:
7/4142 sec
Metering Mode:
Average
Gallery RSS
|
Archive View
|
Login
|
Powered by
Zenphoto