Table of Contents
Washington University Experience | NEOPLASMS (GLIAL) | PLNTY | 3H2 PLNTY (Case 3, Resection 2) H&E 2
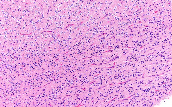
This resection specimen is a low-grade glioma constituted by 'oligodendroglial cells' harboring round, regular nuclei and perinuclear clearing, in a diffusely infiltrative pattern, along-with few scattered dystrophic calcifications.
