Table of Contents
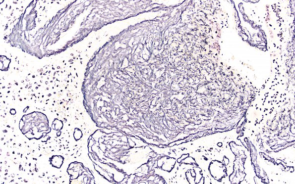
Washington University Experience | NEOPLASMS (GLIAL) | Pleomorphic Xanthoastrocytoma (PXA) | 17F PXA Anaplastic WHO III (Case 17) Retic 20X
A reticulin stain shows an increased perivascular meshwork albeit without any conspicuous increased pericellular staining in the solid areas of tumor.
