Table of Contents
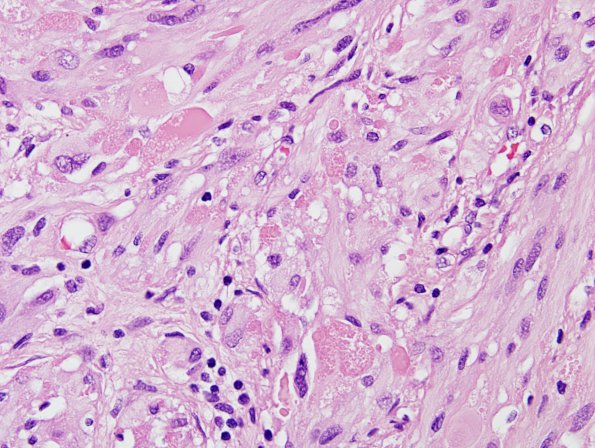
Washington University Experience | NEOPLASMS (GLIAL) | Pleomorphic Xanthoastrocytoma (PXA) | 18A4 Pleomorphic Xanthoastrocytoma (Case 18) H&E 5
There are numerous eosinophilic granular bodies in the background accompanied by perivascular lymphocytic cuffing. (H&E)
