Table of Contents
Washington University Experience | NEOPLASMS (GLIAL) | Pleomorphic Xanthoastrocytoma (PXA) | 22A1 PXA (Case 22) FLAIR - Copy
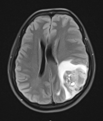
Case 22 History ---- The patient is a 27-year-old woman presenting with two weeks of headaches and a cystic, enhancing mass in the left parieto-temporal region. Operative procedure: left craniotomy for tumor resection with fluorescein, spinal cord monitoring. ---- 22A1 The tumor is a hyperintense mass in the left parieto-temporal lobe with adjacent edema as seen in a FLAIR scan.
