Table of Contents
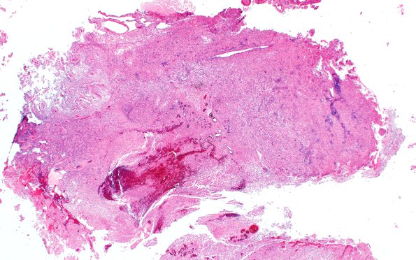
Washington University Experience | NEOPLASMS (GLIAL) | Pleomorphic Xanthoastrocytoma (PXA) | 22B1 PXA (Case 22) H&E 2X
22B1,2 Low magnification images of the neurosurgical specimen show large swathes of eosinophilic cells and focal perivascular small elements. (H&E)
