Table of Contents
Washington University Experience | NEOPLASMS (GLIAL) | Pleomorphic Xanthoastrocytoma (PXA) | 22B13 PXA (Case 22) H&E B2 60X 1 copy
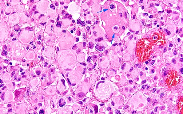
Many tumor cells are multinucleated with large pleomorphic nuclei. A subpopulation of the tumor cells appears to have phagocytosed inflammatory cells, either myeloid cells or even PMNs which is an unusual appearance in this case.
