Table of Contents
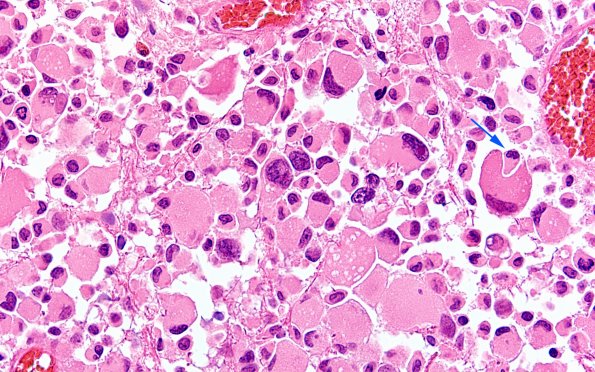
Washington University Experience | NEOPLASMS (GLIAL) | Pleomorphic Xanthoastrocytoma (PXA) | 22B14 PXA (Case 22) H&E B2 60X 6 copy
In this image could the cell indicated (arrow) represent a soon-to-be phagocytosed element? (H&E)
