Table of Contents
« prev
next »
Washington University Experience
|
NEOPLASMS (GLIAL)
|
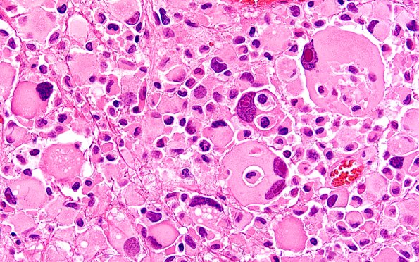
Pleomorphic Xanthoastrocytoma (PXA)
|
22B16 PXA (Case 22) H&E B2 60X 13
Additional examples of possible emperipolesis? (H&E)
Image Info
Camera Maker:
Olympus
Camera Model:
DP74
Shutter Speed:
1/50 sec
Metering Mode:
Multi-Spot
Gallery RSS
|
Archive View
|
Login
|
Powered by
Zenphoto