Table of Contents
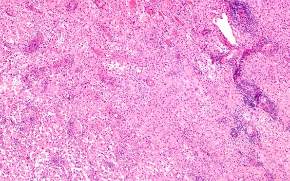
Washington University Experience | NEOPLASMS (GLIAL) | Pleomorphic Xanthoastrocytoma (PXA) | 22B3A PXA (Case 22) H&E 10X
22B3A-C The perivascular elements consist of numerous lymphocytes and a striking infiltrate of myeloid cells and PMNs along with scattered perivascular lymphocytic chronic inflammation and microcalcifications. (H&E)
