Table of Contents
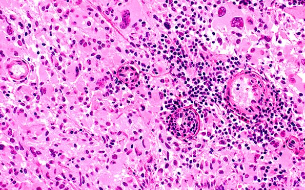
Washington University Experience | NEOPLASMS (GLIAL) | Pleomorphic Xanthoastrocytoma (PXA) | 22B3C PXA (Case 22) H&E 40X 3
The perivascular elements consist of numerous lymphocytes and a striking infiltrate of myeloid cells and PMNs along with scattered perivascular lymphocytic chronic inflammation and microcalcifications. (H&E)
