Table of Contents
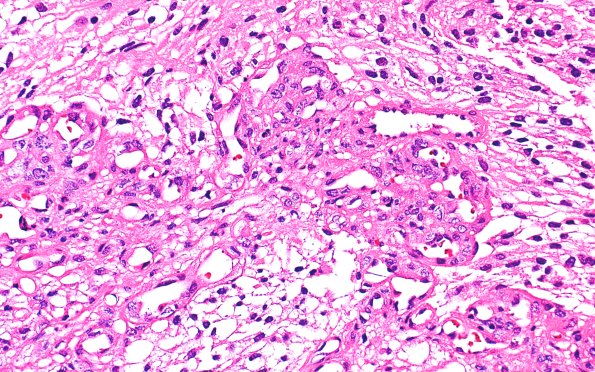
Washington University Experience | NEOPLASMS (GLIAL) | Pleomorphic Xanthoastrocytoma (PXA) | 22B4 PXA (Case 22) H&E 40X 2
The majority of the tumor consists of a high-grade glioma with tumor cells which are moderately pleomorphic with a gemistocytic appearance with abundant eosinophilic cytoplasm and eccentric nuclei. (H&E)
