Table of Contents
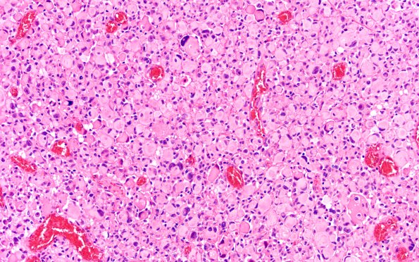
Washington University Experience | NEOPLASMS (GLIAL) | Pleomorphic Xanthoastrocytoma (PXA) | 22B5 PXA (Case 22) H&E B2 20X 3
22B6-8 The tumor cells have significant amounts of eosinophilic cytoplasm and markedly enlarged nuclei with variable eosinophilic nucleoli. (H&E)
