Table of Contents
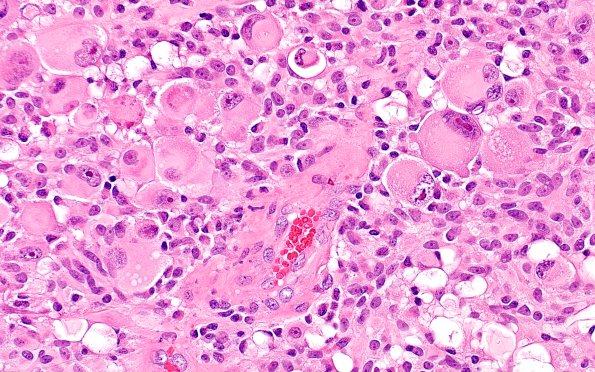
Washington University Experience | NEOPLASMS (GLIAL) | Pleomorphic Xanthoastrocytoma (PXA) | 22B7 PXA (Case 22) A2 H&E 40X
The tumor cells have significant amounts of eosinophilic cytoplasm and markedly enlarged nuclei with variable eosinophilic nucleoli. (H&E)
