Table of Contents
« prev
next »
Washington University Experience
|
NEOPLASMS (GLIAL)
|
Pleomorphic Xanthoastrocytoma (PXA)
|
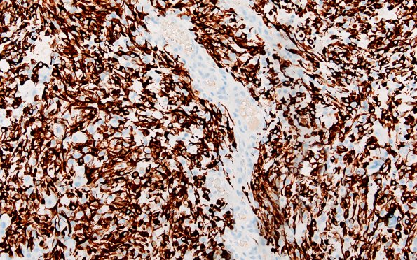
22C4 PXA (Case 22) GFAP A2 20X
4 A subpopulation of tumor cells is strongly GFAP immunoreactive. (GFAP IHC)
Image Info
Camera Maker:
Olympus
Camera Model:
DP74
Shutter Speed:
25/13089 sec
Metering Mode:
Multi-Spot
Gallery RSS
|
Archive View
|
Login
|
Powered by
Zenphoto