Table of Contents
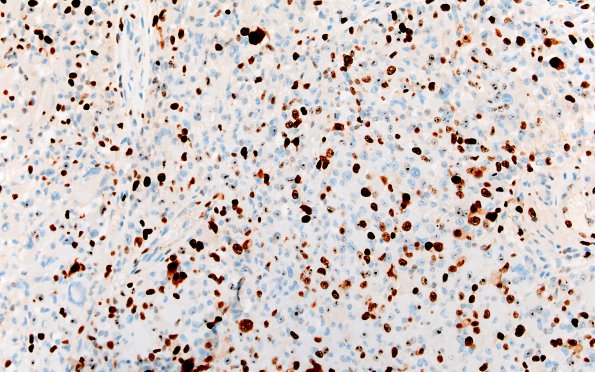
Washington University Experience | NEOPLASMS (GLIAL) | Pleomorphic Xanthoastrocytoma (PXA) | 22G2 PXA (Case 22) B1 Ki67 20X
The proliferative activity is increased and involves small as well as large pleomorphic nuclei with an estimated Ki-67/MiB proliferation index of 30%. (Ki67 IHC)
