Table of Contents
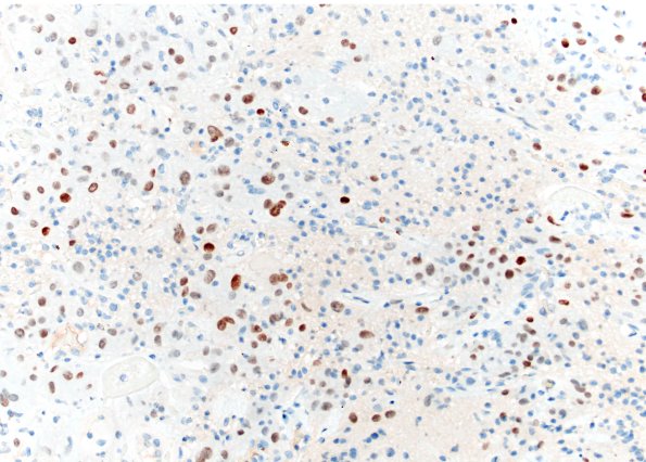
Washington University Experience | NEOPLASMS (GLIAL) | Subependymal Giant Cell Astrocytoma (SEGA) | 20M SEGA (Case 20) TTF 20X 2
This tumor shows a subpopulation of TTF-1 reactive nuclei, not specific for this tumor. (TTF-1 IHC)
