Table of Contents
« prev
next »
Washington University Experience
|
NEOPLASMS (GLIAL)
|
Subependymal Giant Cell Astrocytoma (SEGA)
|
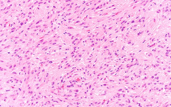
21B6 SEGA (Case 21) H&E 20X 3
The constituent elements in this case are more spindled than epithelioid. (H&E)
Image Info
Camera Maker:
Olympus
Camera Model:
DP74
Shutter Speed:
3/3125 sec
Metering Mode:
Multi-Spot
Gallery RSS
|
Archive View
|
Login
|
Powered by
Zenphoto