Table of Contents
« prev
next »
Washington University Experience
|
NEOPLASMS (GLIAL)
|
Subependymal Giant Cell Astrocytoma (SEGA)
|
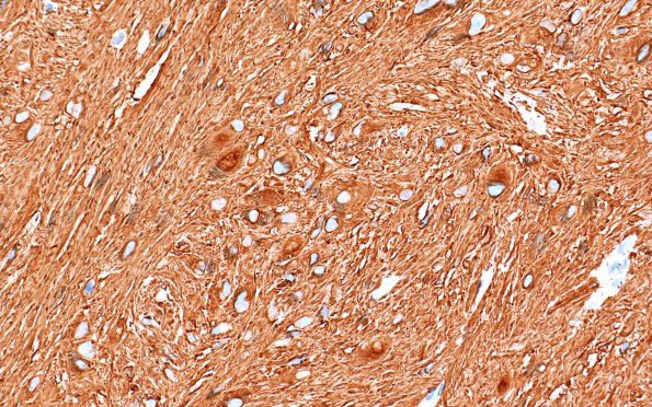
21C4 SEGA (Case 21) GFAP 40X 3
Both spindled cells and scattered ballooned cells are GFAP immunolabeled. (GFAP IHC)
Image Info
Camera Maker:
Olympus
Camera Model:
DP74
Shutter Speed:
27/6250 sec
Metering Mode:
Multi-Spot
Gallery RSS
|
Archive View
|
Login
|
Powered by
Zenphoto