Table of Contents
« prev
next »
Washington University Experience
|
NEOPLASMS (GLIAL)
|
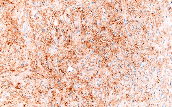
Subependymal Giant Cell Astrocytoma (SEGA)
|
21D2 SEGA (Case 21) S100 20X1
Cells are more lightly stained for S100 (S100 IHC)
Image Info
Camera Maker:
Olympus
Camera Model:
DP74
Shutter Speed:
10/10989 sec
Metering Mode:
Multi-Spot
Gallery RSS
|
Archive View
|
Login
|
Powered by
Zenphoto