Table of Contents
Washington University Experience | NEOPLASMS (GLIAL) | Subependymoma | 17A2 Subependymoma (Case 17) T1W
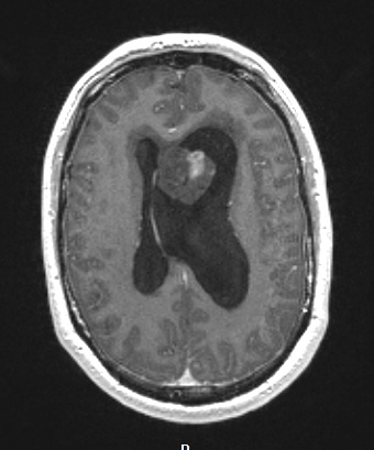
The T1-weighted image with administered contrast shows a neoplasm abutting the septum pellucidum with patchy contrast enhancement. Note the marked asymmetric hydrocephalus.
