Table of Contents
« prev
next »
Washington University Experience
|
NEOPLASMS (GLIAL)
|
Subependymoma
|
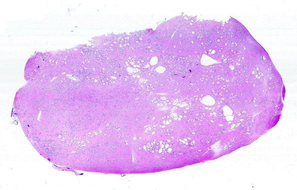
17C1 Subependymoma (Case 17) H&E WM A
The whole mount specimen shows large scattered cysts. (H&E)
Image Info
Camera Maker:
Nikon
Camera Model:
LS-50
Gallery RSS
|
Archive View
|
Login
|
Powered by
Zenphoto