Table of Contents
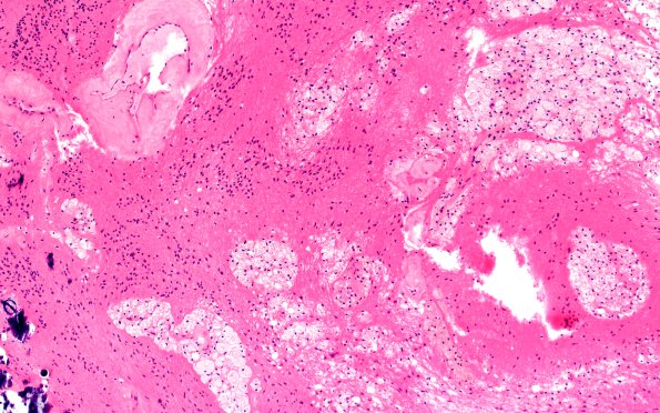
Washington University Experience | NEOPLASMS (GLIAL) | Subependymoma | 18B3 Subependymoma (Case 18) H&E 10X 2
H&E-stained sections show a neoplasm composed of clusters of monomorphic nuclei in a dense glial fibrillary background. There are scattered calcifications and areas of large foamy cells. (H&E)
