Table of Contents
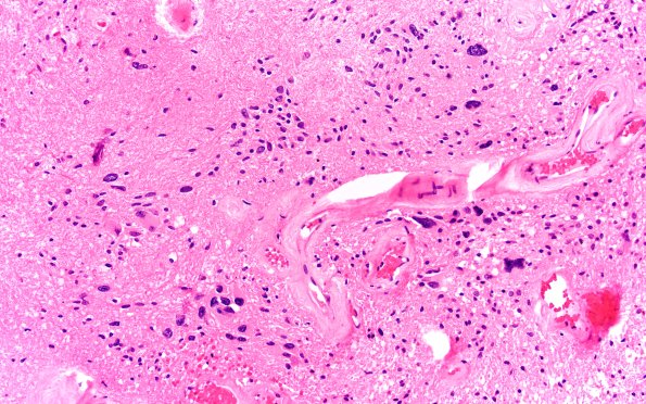
Washington University Experience | NEOPLASMS (GLIAL) | Subependymoma | 18B6 Subependymoma (Case 18) H&E 20X 6
18B6,7 There is a focal area of atypia consistent with ancient change. There is no necrosis or microvascular proliferation. No mitoses are identified.
