Table of Contents
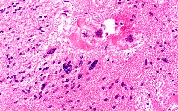
Washington University Experience | NEOPLASMS (GLIAL) | Subependymoma | 18B7 Subependymoma (Case 18) H&E 40X
There is a focal area of atypia consistent with ancient change. There is no necrosis or microvascular proliferation. No mitoses are identified.
