Table of Contents
« prev
next »
Washington University Experience
|
NEOPLASMS (GLIAL)
|
Subependymoma
|
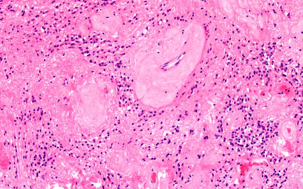
18B8 Subependymoma (Case 18) H&E 20X
Large hyalinized vessels are scattered within the neoplasm. (H&E)
Image Info
Camera Maker:
Olympus
Camera Model:
DP74
Shutter Speed:
41/29927 sec
Metering Mode:
Multi-Spot
Gallery RSS
|
Archive View
|
Login
|
Powered by
Zenphoto