Table of Contents
« prev
next »
Washington University Experience
|
NEOPLASMS (GLIAL)
|
Subependymoma
|
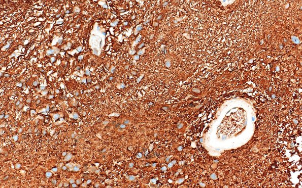
18C3 Subependymoma (Case 18) GFAP 40X
GFAP is positive in fibrillary islands separating clusters of nuclei. (GFAP IHC).
Image Info
Camera Maker:
Olympus
Camera Model:
DP74
Shutter Speed:
4/883 sec
Metering Mode:
Multi-Spot
Gallery RSS
|
Archive View
|
Login
|
Powered by
Zenphoto