Table of Contents
« prev
next »
Washington University Experience
|
NEOPLASMS (METASTASES)
|
Melanoma
|
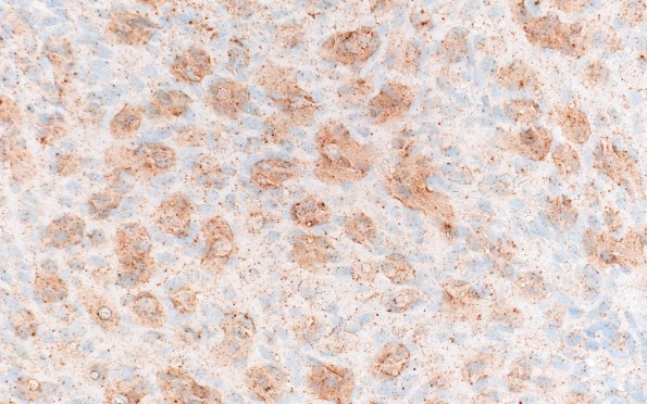
10B3 Melanoma (Case 10) BRAF 40X
Immunohistochemical stains were positive for BRAF p.V600E in a subset of tumor cells(10B3).
Image Info
Camera Maker:
Olympus
Camera Model:
DP74
Shutter Speed:
41/9276 sec
Metering Mode:
Multi-Spot
Gallery RSS
|
Archive View
|
Login
|
Powered by
Zenphoto