Table of Contents
« prev
next »
Washington University Experience
|
NEOPLASMS (METASTASES)
|
Melanoma
|
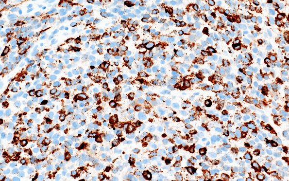
11B Melanoma (Case 11) HMB45 40X
11B Tumor cells are positive for HMB-45 (HMB-45 IHC)
Image Info
Camera Maker:
Olympus
Camera Model:
DP74
Shutter Speed:
32/7767 sec
Metering Mode:
Multi-Spot
Gallery RSS
|
Archive View
|
Login
|
Powered by
Zenphoto