Table of Contents
« prev
next »
Washington University Experience
|
NEOPLASMS (METASTASES)
|
Melanoma
|
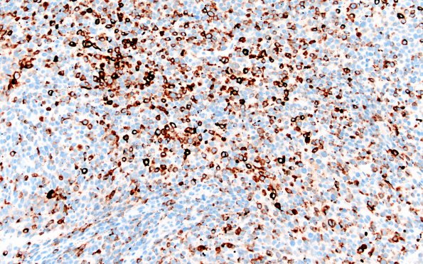
11C1 Melanoma (Case 11) MelanA 20X
11C1,2 Tumor cells are positive for MelanA (MelanA IHC),
Image Info
Camera Maker:
Olympus
Camera Model:
DP74
Shutter Speed:
1/1000 sec
Metering Mode:
Multi-Spot
Gallery RSS
|
Archive View
|
Login
|
Powered by
Zenphoto