Table of Contents
Washington University Experience | NEOPLASMS (METASTASES) | Melanoma | 1B1 Metastases Melanoma (Case 1) H & E 4.jpg
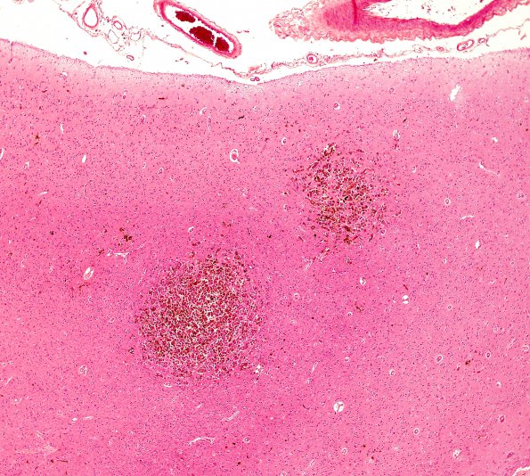
1B1-3 A typical cortical area shows parenchymal micro-metastases which are often in continuity with tumor in the subarachnoid (not so much here) H&E.
