Table of Contents



Washington University Experience | NEOPLASMS (METASTASES) | Melanoma | 2A2 Metastases, melanoma (Case 2) SWI 1 - Copy

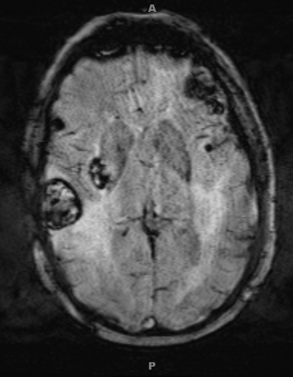
2A2 Metastases, melanoma (Case 2) SWI 1 - Copy
Multiple metastases are seen in SWI (2A2) and T2-weighted contrast applied (2A3) scans.


Gallery RSS RSS Feed | Archive View | Login | Powered by Zenphoto