Table of Contents



Washington University Experience | NEOPLASMS (METASTASES) | Melanoma | 2A3 Metastases, melanoma (Case 2) T2 W 1 - Copy

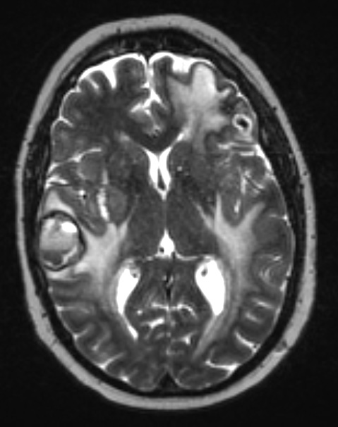
2A3 Metastases, melanoma (Case 2) T2 W 1 - Copy
Multiple metastases are seen in T2-weighted contrast applied MRI scan..


Gallery RSS RSS Feed | Archive View | Login | Powered by Zenphoto