Table of Contents
« prev
next »
Washington University Experience
|
NEOPLASMS (METASTASES)
|
Melanoma
|
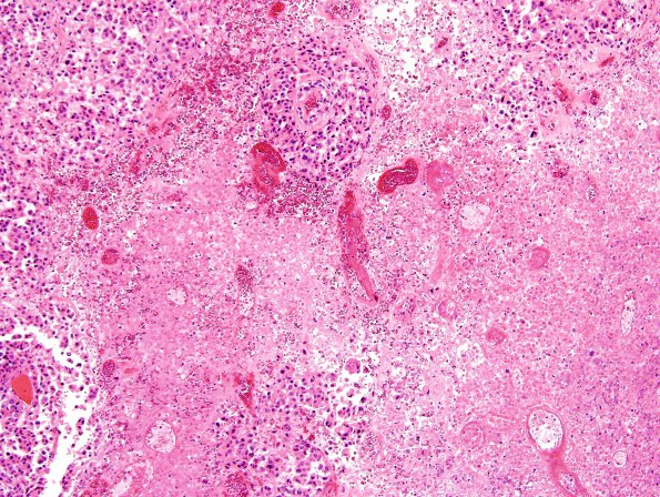
2C4 Metastases, melanoma (Case 2) H&E 7.jpg
Necrotic tumor margin. (H&E)
Image Info
Camera Maker:
Olympus Corporation
Camera Model:
DP70
Original Time Taken:
10-07-2015
Shutter Speed:
1/246 sec
ISO Sensitivity:
200
Metering Mode:
Spot
Gallery RSS
|
Archive View
|
Login
|
Powered by
Zenphoto