Table of Contents
« prev
next »
Washington University Experience
|
NEOPLASMS (METASTASES)
|
Melanoma
|
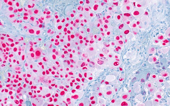
6P4 Metastasis, melanoma (Case 6P) SOX10 1
Tumor cell staining with SOX10.
Image Info
Camera Maker:
Olympus
Camera Model:
DP74 #1
Shutter Speed:
20/3643 sec
Metering Mode:
Average
Gallery RSS
|
Archive View
|
Login
|
Powered by
Zenphoto