Table of Contents



Washington University Experience | NEOPLASMS (METASTASES) | Melanoma | 7C3 Metastasis, melanoma (Case 7C) H&E 4

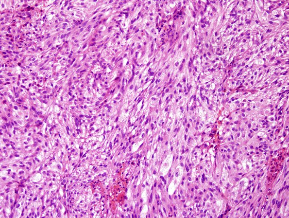
7C3 Metastasis, melanoma (Case 7C) H&E 4
This area shows spindled cell image of melanoma. (H&E)


Gallery RSS RSS Feed | Archive View | Login | Powered by Zenphoto