Table of Contents
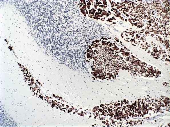
Washington University Experience | NEOPLASMS (METASTASES) | Meningeal | 6B3 Metastatic CA CK7 (Case 6)
CK7 immunohistochemistry demonstrates leptomeningeal and parenchymal metastases. The microscopic appearance of the cerebellum is remarkable for multifocal leptomeningeal carcinomatosis with an extension into the underlying cerebellar parenchyma. The tumor is characterized by generally discohesive cells with abundant eosinophilic cytoplasm and oval to markedly irregular shape hyperchromatic nuclei, sometimes with prominent nucleoli.
