Table of Contents
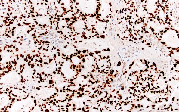
Washington University Experience | NEOPLASMS (METASTASES) | Microscopic | 100B Metastasis, mucinous lung CA (Case 100) TTF1 40X
100B The tumor cells are positive for TTF1. ---- Comment: This tumor received a diagnosis of metastatic adenocarcinoma with mucinous features, consistent with a lung primary (TTF1 IHC)
