Table of Contents
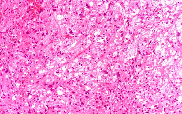
Washington University Experience | NEOPLASMS (METASTASES) | Microscopic | 101A1 Metastasis, renal cell (Case 101) H&E 20X
Case 101 History ---- The patient is a 77yo male with a history of clear cell renal cell carcinoma and metastasis to shoulder. Now presents with intraparenchymal brain hemorrhage and concern for brain metastasis. Operative procedure: Craniotomy excision tumor. ---- 101A1,2 H&E stained sections show predominantly hemorrhage and small clusters of a metastatic carcinoma. The tumor shows atypical nuclei with prominent nucleoli and vacuolated to mostly cleared out cytoplasm. Delicate vasculature is seen admixed within the tumor. (H&E)
