Table of Contents
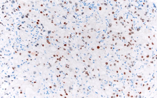
Washington University Experience | NEOPLASMS (METASTASES) | Microscopic | 101D Metastasis, renal cell (Case 101) Pax-8 20X
The tumor cells are positive for the transcription factor Pax-8. ---- Comment: The collective morphological and immunohistochemical features, along with the patient's history are consistent with a diagnosis of metastatic clear cell renal cell carcinoma.
