Table of Contents
« prev
next »
Washington University Experience
|
NEOPLASMS (METASTASES)
|
Microscopic
|
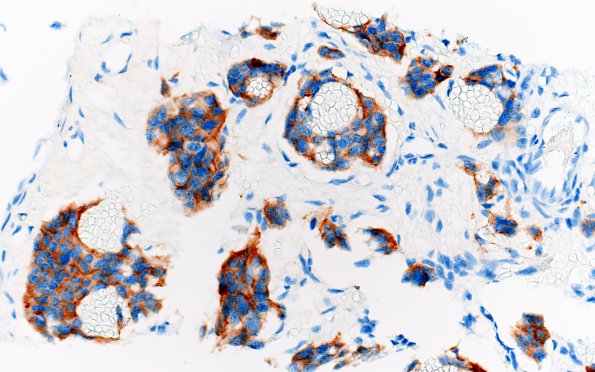
14C Metastasis, frontal bone, medullary thyroid origin (Case 14) Synaptophysin 1
There is strong immunoreactivity for synaptophysin. (SYN IHC)
Image Info
Camera Maker:
Olympus
Camera Model:
DP74
Shutter Speed:
22/7483 sec
Metering Mode:
Average
Gallery RSS
|
Archive View
|
Login
|
Powered by
Zenphoto