Table of Contents
« prev
next »
Washington University Experience
|
NEOPLASMS (METASTASES)
|
Microscopic
|
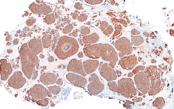
15B1 Metastasis, medullary thyroid (Case 15) calcitonin 2
15B1,2 There is diffuse cytoplasmic staining for calcitonin (calcitonin IHC).
Image Info
Camera Maker:
Olympus
Camera Model:
DP74 #1
Shutter Speed:
14/27451 sec
Metering Mode:
Multi-Spot
Gallery RSS
|
Archive View
|
Login
|
Powered by
Zenphoto