Table of Contents
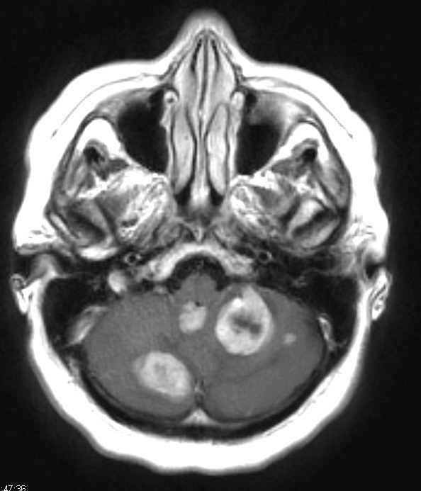
Washington University Experience | NEOPLASMS (METASTASES) | Microscopic | 18A Metastases, ovarian (Case 18) T1 W 1
Case 18 History Metastatic ovarian carcinoma ---- The patient is a 62 year old woman with disseminated peritoneal ovarian carcinoma with pleural metastasis presenting with multiple brain masses. Operative procedure: Posterior fossa craniotomy with tumor resection. ---- 18A Numerous metastatic lesions are found in the cerebellum in this T1-weighted scan with contrast.
