Table of Contents



Washington University Experience | NEOPLASMS (METASTASES) | Microscopic | 2B Metastases Liver origin (Case 2) AFP

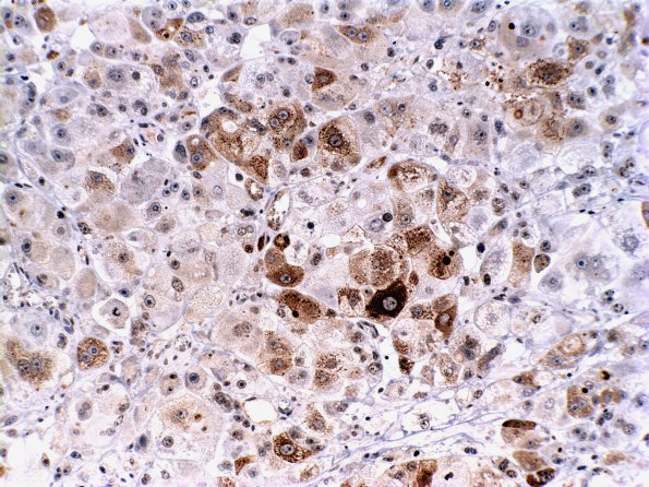
2B Metastases Liver origin (Case 2) AFP
Tumor cells are immunoreactive for alpha fetoprotein (AFP IHC)


Gallery RSS RSS Feed | Archive View | Login | Powered by Zenphoto