Table of Contents
« prev
next »
Washington University Experience
|
NEOPLASMS (METASTASES)
|
Microscopic
|
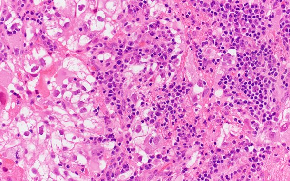
30A1 Metastasis, renal (Case 30) H&E 2
Case 30 ---- 30A A metastatic renal cell carcinoma with prominent clear cells and an inflammatory infiltrate.
Image Info
Camera Maker:
Olympus
Camera Model:
DP74
Shutter Speed:
27/9854 sec
Metering Mode:
Average
Gallery RSS
|
Archive View
|
Login
|
Powered by
Zenphoto