Table of Contents
« prev
next »
Washington University Experience
|
NEOPLASMS (METASTASES)
|
Microscopic
|
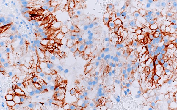
32C Metastasis, renal origin (Case 32) RCC 1
The tumor cells are strongly and diffusely positive for RCC. (RCC IHC)
Image Info
Camera Maker:
Olympus
Camera Model:
DP74
Shutter Speed:
31/8094 sec
Metering Mode:
Average
Gallery RSS
|
Archive View
|
Login
|
Powered by
Zenphoto