Table of Contents
« prev
next »
Washington University Experience
|
NEOPLASMS (METASTASES)
|
Microscopic
|
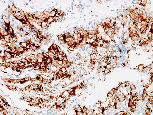
35C2 Metastasis, renal (Case 35) CD10 1.jpg
The tumor is strongly and diffusely positive for CD10.
Image Info
Camera Maker:
Olympus Corporation
Camera Model:
DP70
Original Time Taken:
10-01-2014
Shutter Speed:
1/168 sec
ISO Sensitivity:
200
Metering Mode:
Spot
Gallery RSS
|
Archive View
|
Login
|
Powered by
Zenphoto