Table of Contents



Washington University Experience | NEOPLASMS (METASTASES) | Microscopic | 38A2 Metastasis, renal cell CA (Case 38) H&E 1

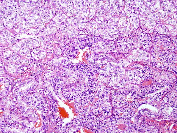
38A2 Metastasis, renal cell CA (Case 38) H&E 1
Sections show metastatic clear cell carcinoma (H&E)


Gallery RSS RSS Feed | Archive View | Login | Powered by Zenphoto